Polip na maternici
Veliki broj operativnih zahvata u ginekologiji se odnosi na uklanjanje polipa na maternici. Oko 10% žena prođe u životu kroz iskustvo s polipima, bilo na vratu maternice ili u samoj maternici.
Sadržaj
Što je polip na maternici?
Polip na maternici, ili endometralni polip, je dobroćudna tvorba koja raste u maternici, a sastoji se od žlijezda i vezivnog tkiva. Najčešće je bez simptoma, no može uzrokovati nepravilna krvarenja, neplodnost ili biti maligno promijenjen.
Polip se dijagnosticira ginekološkim pregledom
Polip na vratu, ili cervikalni polip, je dobroćudna tvorba koja raste na vratu maternice, a sastoji se od žlijezda i vezivnog tkiva. Može uzrokovati kronične upale ili kontaktna krvarenja. Dijagnosticira se ginekološkim pregledom prilikom kojeg se lako može i ukloniti.
Polipi maternice su jedan od najčešćih uzroka krvarenja iz ženskog spolnog sustava, u reproduktivnoj dobi i u postmenopauzi. Mogu biti pojedinačni ili ih može biti više. Veličina polipa je od nekoliko milimetara do nekoliko centimetara.
Postoji više dobroćudnih tvorbi koje mogu narasti na maternici: miomi, adenomioze i polipi. Razlikuju se po sastavu i smještaju. Miomi su sastavljeni od mišićnog tkiva i mogu rasti izvan maternice, u stijenki maternice ili u šupljini maternice. Polipi su sastavljeni od žljezdanog i vezivnog tkiva, a nalaze se u šupljini maternice ili rastu na vratu maternice. Adenomioza se sastoji od žljezdanog i vezivnog tkiva, a nalazi se u stijenki maternice.
Koji su simptomi polipa na maternici?
Polipi na maternici najčešće nemaju nikakvih simptoma.
Rastu u maternici bez tegoba i slučajno se dijagnosticiraju na ultrazvuku prilikom redovitog ginekološkog pregleda.
Simptomi polipa su:
- sukrvica unutar ciklusa
- produljeno menstrualno krvarenje ili krvarenje s ugrušcima
- krvarenje tijekom spolnog odnosa ili nakon odnosa
- grčevi prilikom menstrualnog krvarenja.
Grčevi su, u biti, trudovi kojima maternica tijekom menstruacijskog krvarenja želi izbaciti polip van.
Svaka žena se uznemiri kad se menstrualno krvarenje promijeni. Ako krenu obilna krvarenja, žena osjeti nemoć. I strahuje radi li se o kakvoj zloćudnoj bolesti, pogotovo ako se sukrvice javljaju unutar ciklusa ili vezano uz spolni odnos. No, sama pomisao da bi trebala ići na operaciju nosi nove strahove: “Što ako neću moći biti trudna nakon operacije? Što ako dođe do neke komplikacije prilikom operacije? uobičajenim aktivnostima“.
Često dolazi do gubitka magnezija
Spolni odnosi postanu noćna mora jer žena ne zna hoće li krvariti tijekom odnosa.
Često kod obilnih krvarenja dolazi do gubitka željeza i posljedične anemije. Takvo stanje smanjuje kvalitetu života jer se žena osjeća umorno i ne može izdržati do kraja dana sa svojim.
Polipi u maternici mogu biti uzrok nemogućnosti začeća, a da žena nije svjesna da ima polip ako nije bila kod ginekologa dulje vrijeme. Često nakon uklanjanja polipa dolazi do ostvarivanja trudnoće.

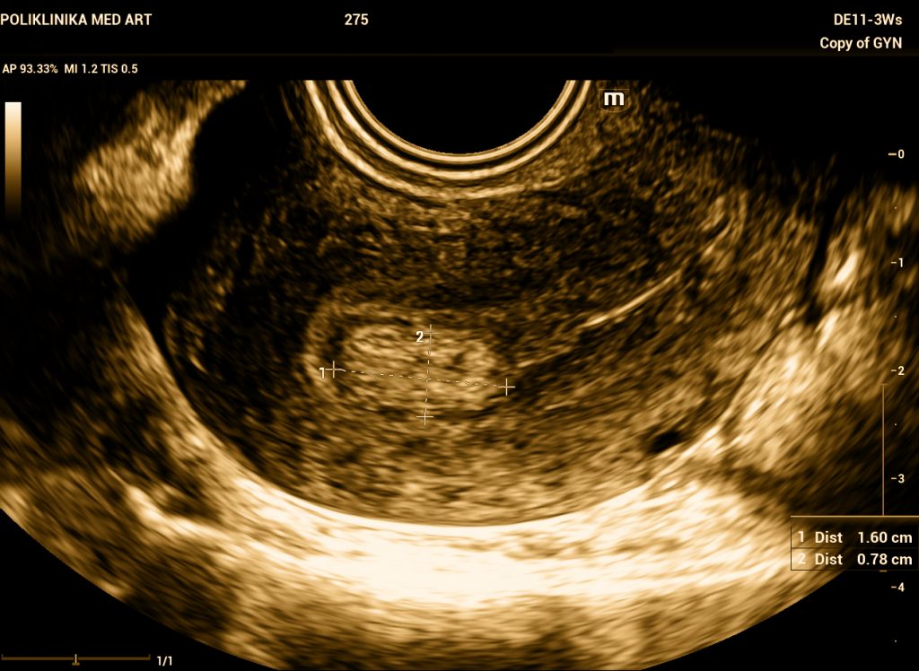
Fotografija: Ultrazvučni prikaz polipa u maternici
Zašto nastaju polipi na maternici?
Ne zna se točan uzrok nastajanja polipa, kao što se niti ne zna točan uzrok nastajanja mnogih dobroćudnih tvorbi u tijelu čovjeka. Najčešće uzroci bilo kojeg poremećaja budu multifaktorijalni, što znači da se više toga mora poklopiti da nastane poremećaj u organizmu.
Zna se da na nastajanje polipa utječe neravnoteža estrogena i progesterona – višak estrogena koji se javlja kod žena koje imaju cikluse bez ovulacija, policistični sindrom, perimenopauza, uzimanje lijekova kao što je tamoksifen, veći body mass index, infekcije genitalnih organa, adenomioza, genetske predispozicije.
Manju pojavnost polipa imaju žene koje uzimaju oralnu hormonsku kontracepciju i koje imaju hormonski intrauterini uložak („spiralu“). U oba slučaja je sluznica maternice tanka te ne dopušta rast i razvoj bilo kakvih tvorbi unutar nje.
Da li su polipi na maternici opasni?
Najčešće nisu.
Najveći broj žena niti ne zna da ima polip ako ne radi redovito ginekološke preglede. Nepravilna krvarenja su ta koja natjeraju žene na preglede gdje se onda ustanovi da postoji polip.
Svaka žena koja primijeti nepravilno menstrualno krvarenje bi se trebala javiti na ginekološki pregled. Ginekolog će znati procijeniti radi li se o opasnoj pojavi ili samo o nekoj trenutnoj neravnoteži u organizmu.
Polipi mogu smetati za začeće
Svaka žena koja pokušava zanijeti, a ne dolazi do trudnoće, mora napraviti ginekološki pregled. Polipi mogu smetati za začeće, ali najčešće nemaju povećani rizik za spontane pobačaje ili za lošiji ishod trudnoće. Rizik ovisi i o veličini polipa. Ako žena ima veliki polip, a planira trudnoću, bilo bi ga bolje ukloniti.
Zloćudni polip na maternici – kada postoji rizik?
Polipi su maligno promijenjeni samo u 1-3% slučajeva.
Veći rizik za maligne promjene imaju žene koje su u postmenopauzi: dob od 50 – 70 godina, žene koje imaju dominaciju estrogena nad progesteronom: policistični jajnici i veći body mass indeks, žene koje koriste lijek tamoksifen, nerotkinje, žene koje imaju nasljedne sindrome za maligne bolesti. Polipi koji krvare ili su veći od 15 milimetara imaju veći rizik za malignu promjenu nego oni manji i bez simptoma.
Razlika između dobroćudnog polipa i maligne tvorbe se može odrediti jedino patohistološkom analizom, što znači da je potrebno polip ukloniti i poslati patologu koji će odrediti o kakvoj vrsti promjene se radi. Ultrazvučnim pregledom se može postaviti sumnja na malignu promjenu ako je tvorba velika, nepravilnog izgleda, ima nepravilne rubove, obilnu prokrvljenost s više žila hranilica. No, ultrazvuk nije dovoljan za definitivnu dijagnozu radi li se o dobroćudnoj ili zloćudnoj tvorbi. Nije nužno kod svakog polipa ići na operaciju, može se planirati ultrazvučno praćenje ako tvorba ne izgleda sumnjivo.
Može li polip na maternici sam nestati?
Polip na maternici može sam nestati. Ponekad se otkine prilikom obilnog krvarenja i izađe zajedno s ugrušcima. To se događa kod manjih polipa. Veći polipi teže spontano prolaze.
Ponekad liječnici prepišu hormonsku terapiju (oralnu hormonsku kontracepciju ili gestagene poput Duphastona ili Utrogestana) kod pacijentica koje trenutno ne žele operaciju. Hormonska terapija ne može ukloniti polip, ali može smanjiti sluznicu maternice i na taj način smanjiti menstrualno krvarenje ili regulirati nepravilno krvarenje koje se javlja kroz ciklus. Efekt terapije traje samo dok traje terapija. Definitivno liječenje je operacijsko uklanjanje polipa.
Kako se dijagnosticira polip na maternici?
Polip na maternici se dijagnosticira ultrazvučnim pregledom. No, to nije definitivna dijagnoza – definitivna dijagnoza se postavlja kad se ukloni tvorba i patohistološki analizira.
Postoji pretraga koja se zove sonohisterografija (SIS). To je ultrazvučna pretraga prilikom koje se u maternicu ubrizga fiziološka otopina da bi se poboljšala vizualizacija. Koristi se kad se ne može prikazati točan oblik tvorbe te utvrditi jasna granica između tvorbe i sluznice maternice.
Ultrazvučni prikaz tvorbi u maternici
| vrsta tvorbe | obrazac krvarenja | oblik tvorbe | color doppler | boja tkiva na ultrazvuku | tvrdoća tkiva |
| polip na maternici | pojačano menstrualno krvarenje i sukrvica unutar ciklusa | ovalna tvorba jasnih granica | jedna pravilna žila hranilica koja ulazi u polip | iste boje kao i sluznica maternice -bjelkaste boje | mekan, ali kompaktan i može se ukloniti u cijelosti |
| miom | pojačano menstrualno krvarenje i sukrvica unutar ciklusa | okruglasta tvorba jasnih granica | pravilan periferni protok oko mioma | tamniji od sluznice maternice, sjena iza mioma | tvrd i čvrst, može se ukloniti u cjelosti |
| karcinom | vrlo nepravilno, jače i učestalo krvarenje | nepravilna tvorba nejasnih granica prema okolnim strukturama | više nepravilnih krvnih žila koje ulaze u tvorbu, jaka prokrvljenost tvorbe | tkiva različite obojenosti unutar strukture, nema pravila | rasipa se prilikom otklanjanja, histeroskopija nije definitivna operacija |
Histeroskopija polipa
Histeroskopija je invazivan postupak prilikom kojeg se tankom cijevi kroz rodnicu ulazi u maternicu, a radi se u svrhu uklanjanja tvorbi u maternici, biopsije, neplodnosti neutvrđenog razloga, uklanjanja pregrade maternice ili unutarmaterničnog uloška („spirale“).
Cijev na kraju ima malu kameru koja omogućuje prikaz unutrašnjosti maternice. U maternicu se ubrizga tekućina koja raširi šupljinu maternice. Liječnik na monitoru prati zahvat.
Zahvat se radi u prvoj fazi ciklusa, nakon menstrualnog krvarenja, kada je maternica otvorena.
Da li je histeroskopija bolna?
Histeroskopija se može raditi u općoj ili lokalnoj anesteziji.
Ako se zahvat radi u lokalnoj anesteziji, može se osjetiti blaga nelagoda u donjem dijelu trbuha prilikom izvođenja zahvata. Pacijentica može prije zahvata uzeti tabletu protiv bolova i lijekove za smirenje. Isti dan može ići kući.
Ako se zahvat radi u općoj anesteziji, pacijentica najčešće ostaje u bolnici jedan dan.
Nakon histeroskopije pacijentica može još par dana imati blažu sukrvicu i lagane grčeve u maternici.
Komplikacije histeroskopije su rijetke, a uključuju infekcije, ozljedu maternice, crijeva ili mokraćnog mjehura, krvarenje, emboliju. Liječnika treba kontaktirati ako se tjelesna temperatura povisi iznad 38°C, ako dođe do jačeg krvarenja, vaginalnog iscjetka neugodna mirisa i promijenjene boje te ako dolazi do otežanog disanja ili boli u prsima.

Fotografija: Color Doppler prikaz polipa u maternici
Operacija polipa na maternici
Je li nužno operirati svaki polip? Nije. Ako je polip malen i nema nikakvih simptoma te se serijskim ultrazvučnim pregledima ustanovi da nema nikakav potencijal rasta, ne mora se uklanjati niti često pratiti. Pacijentici se savjetuje da se odmah javi na pregled u slučaju pojave nepravilnog krvarenja.
Uklanjanje polipa se savjetuje u sljedećim situacijama
- krvarenje: nepravilno krvarenje unutar ciklusa, pojačano menstrualno krvarenje ili pojava krvarenja u postmenopauzi
- nemogućnost začeća
- pojava više polipa unutar maternice – moguće su češće komplikacije nego kod jednog polipa
- veličina polipa: polip veći od 15 mm
- polip nepravilnog oblika i nejasnih granica
- terapija tamoksifenom
- pojava polipa u postmenopauzi
Polip se može ukloniti histeroskopijom ili kiretažom. Kod histeroskopije se uvodi kamera u maternicu pa se pod kontrolom oka ukloni sve što postoji. Kiretaža se radi naslijepo pa postoji mogućnost zaostatka polipa u maternici. Liječnici savjetuju izvođenje kiretaže kod žena kod kojih bi anestezija mogla uzrokovati veće probleme zbog drugih bolesti od kojih boluju.
Vraćaju li se polipi nakon operacije?
U 10-15% operativnih zahvata polipi se vraćaju. Tog treba biti svjesna svaka pacijentica. Kao što ne znamo zašto nastaju, tako isto ne znamo zašto se kod nekoga vrate, a kod nekoga ne. Prevencija vraćanja polipa se radi postavljanjem hormonskog unutarmaterničnog uloška („spirale“) ili ablacijom endometrija. Preferira se postavljanje spirale jer ona ima i kontracepcijsko djelovanje. U slučaju želje za trudnoćom, spirala se može izvaditi i žena može zanijeti. Kod ablacije endometrija se nepovratno oštećuje sluznica maternice.
Bolovanje i oporavak nakon operacije
Nakon histeroskopije se savjetuje mirovanje na dan zahvata. Drugi dan se pacijentica može vratiti svakodnevnim laganim aktivnostima. Nelagoda u trbuhu može trajati nekoliko dana nakon operacije.
Preporučljivo je tuširanje, a ne kupanje u kadi.
Vježbanje i spolni odnosi nisu preporučljivi u iduća 2-3 tjedna, tj. dok ne prođe iduće menstrualno krvarenje. Prva menstruacija nakon zahvata može biti obilnija i bolnija. Što se tiče opće higijene, preporučljivo je tuširanje, a ne kupanje u kadi. Odlazak na bazene treba odgoditi do nakon prvog menstrualnog krvarenja.
Bolovanje nakon histeroskopije se preporučuje kroz 3-4 dana.
Kada se javiti ginekologu?
Sukrvice unutar ciklusa kao i pojačano menstrualno krvarenje su neminovno razlog za ginekološki pregled. Žene u postmenopauzi obavezno trebaju posjetiti ginekologa kod bilo koje pojave krvi iz genitalnog sustava, pa makar to bio samo blagi roskasti iscjedak.
Ne treba se plašiti što će ginekolog reći. U većini slučajeva se nađu benigne promjene koje samo smanjuju kvalitetu života i nisu opasne po život. No, to se ne može znati ako se ne potraži stručno mišljenje.
Polip na marternici – često postavljana pitanja

Autor: Dubravka Dedeić, specijalist ginekologije i porodništva
Polip na maternici
Veliki broj operativnih zahvata u ginekologiji se odnosi na uklanjanje polipa na maternici. Oko 10%…
Bakterijska vaginoza
Bakterijska vaginoza je poremećaj ravnoteže flore vagine u kojem dolazi do smanjenja broja Laktobacila i…
Gljivična infekcija rodnice
Gljivične infekcije rodnice su česte i gotovo se svaka žena s njima susretne barem jednom…
Bijeli iscjedak
Svaka žena, od kad uđe u pubertet pa sve do menopauze, svakodnevno primjećuje bjelkasti iscjedak…
Dvije menstruacije u jednom mjesecu
Regularan menstrualni ciklus traje od 21 do 35 dana. Ciklus se računa od prvog dana…
Sad biram sebe, perimenopauza bez grižnje savjesti
Je li perimenopauza dobar događaj, loš ili neutralan? Može biti sve. Svaka žena za sebe…

Mob (ginekologija)
E-mail fizikalna terapija:
Poliklinika Med Art | © Sva prava pridržana

izrada: trenutak.hr

