Miomi
Miomi su dobroćudne izrasline koje rastu iz mišićnih stanica maternice. U prosjeku svaka četvrta žena ima miome, vrlo često bez ikakvih simptoma. Ponekad mogu utjecati na kvalitetu života, no najčešće samo izgledaju kao mali bijeli biseri razasuti po stijenci maternice.
Sadržaj:
Što su miomi i zašto nastaju?
Drugi nazivi za miome su leiomiomi i fibroidi. To su okruglaste tvorbe koje nastaju iz mišićja maternice, no kad ih se prereže u sredini su biserno bijele boje. Mogu biti pojedinačni ili višestruki, manji od centimetra ali i toliko veliki da se napipaju odmah ispod razine pupka kao tvrda masa koja ispunjava trbuh. Najčešće narastu na neku veličinu i takvi ostaju godinama.
Miomi se pojavljuju od puberteta, kad počinje pojačano lučenje spolnih hormona, pa sve do kraja reproduktivne dobi žene. Kod crnkinja se pojavljuju najviše u 20-tim godinama, dok kod bijele rase u 30-tim i 40-tim godinama. Ne zna se točan uzrok pojave mioma, no ženski spolni hormona, poglavito estrogeni, sudjeluju u pojavi i rastu mioma. Razina estrogena utječe stimulirajuće na njihov rast. Mogu ubrzano rasti u trudnoći zbog velike količine hormona koji se luče u trudnoći, a smanjuju se nakon menopauze jer razina estrogena pada.
Klasifikacija mioma
FIGO klasifikacija mioma po lokalizaciji u maternici:
- Tip 0 – Submukozni miomi. U potpunosti se nalazi unutar šupljine maternice. Često su povezani s obilnim krvarenjima i problemima s plodnošću.
- Tip 1 – Submukozno-intramuralni miomi. Većim dijelom su u šupljini maternice, a manjim u mišićnom sloju. Mogu biti povezani s obilnim krvarenjima i problemima s plodnošću.
- Tip 2 – Submukozno-intramuralni miomi. Više od 50 posto miom se nalazi u mišićnom sloju, a manji dio u šupljini maternice. Mogu biti povezani s obilnim krvarenjima i problemima s plodnošću.
- Tip 3, 4 i 5 – Intramuralni i intramuralno-subserozni miomi.Većim dijelom se nalaze u mišićnom sloju, nisu u kontaktu sa šupljinom maternice. Ovo su najčešći miomi. Ako ne narastu veliki, ne rade nikakve probleme.
- Tip 6,7 – Subserozni miomi. Nalaze se na vanjskoj strani maternice, mogu biti samo peteljkom pričvršćeni na maternicu.Mogu narasti do velikih dimenzija bez izazivanja simptoma, ali kod mioma koji su na peteljci može doći do torzije (zakretanja) mioma oko svoje osi što izaziva bolove. Manji subserozni miomi izgledaju kao ukrasi na maternici – kao kuglice na boru.
- Tip 8 Cervikalni miomi. Smješteni su u vratu, a ne u tijelu maternice. Ako narastu veliki, mogu smetati prilikom porođaja jer blokiraju porođajni kanal.
Faktori rizika za razvoj mioma
Faktori rizika koji povećavaju vjerojatnost razvoja mioma:
- Genetska predispozicija: Pozitivna obiteljska anamneza (majka, sestra) donosi rizik za razvoj mioma. Postoje dokazi o specifičnim genima vezanim uz miome.
- Dob: Miomi nastaju u reproduktivnoj dobi.
- Pretilost: Postoji veza između prekomjerne tjelesne težine i povećanog rizika zbog povećane razine estrogena.
- Rana menarha: Rani početak menstruacije (<10 godina) povezan je s povećanim rizikom od razvoja mioma.
- Rasa/etnička pripadnost: Pojava mioma je dva do tri puta veće kod crnkinja nego kod bjelkinja. Smatra se da razlike u prehrani, načinu i kvaliteti života, psihosocijalnom stresu i izloženosti okolišu doprinose ovoj razlici. Crnkinje imaju veću vjerojatnost razviti miome koji će stvarati tegobe, koji će brzo rasti te se pojavljuju u mlađoj dobi nego kod bjelkinja.
- Manjak vitamina D: Sve je više dokaza da je nedostatak vitamina D, koji je češći među crnim pacijenticama, povezan s rizikom od mioma. Glavni izvor vitamina D je sinteza u koži, a taj je proces usporen kod crne kože jer je viša razina melanina. Ova povezanost može doprinijeti objašnjenju za povećani rizik od mioma kod crnih pacijentica.
- Hormonska terapija: Kod uzimanja hormonske nadomjesne terapije se tegobe, povezane s miomima, mogu nastaviti i nakon menopauze. Hormonska terapija je povezana s postojećim miomima te ne može potaknuti pojavu i rast novih mioma. Prisutnost mioma nije kontraindikacija za uvođenje hormonske nadomjesne terapija u perimenopauzi.
- Prehrana: veća konzumacija crvenog mesa je povećana s većim rizikom za razvoj mioma, dok konzumacija voća i povrća smanjuje rizik.
- Alkohol: Smatra se da konzumacija alkohola, pogotovo piva, povećava rizik za razvoj mioma.
- Kofein: nije povezan s rizikom za razvoj mioma.
- Pušenje: nije dokazana povezanost.
- Primjena standardnih ili nižih doza oralnih kontraceptiva (≤35 mcg etinil estradiola/dan) nema povećani rizik za rast mioma. Primjena ovih lijekova nije kontraindicirana kod pacijentica s miomima.
- Kronični stres i važni životni događaji definitivno mogu biti povezani s povećanim rizikom od mioma.
Faktori koji smanjuju rizik:
- Trudnoća u životu žene: smanjuje vjerojatnost nastanka mioma.
- Upotreba hormonske kontracepcije smanjuje rast mioma.

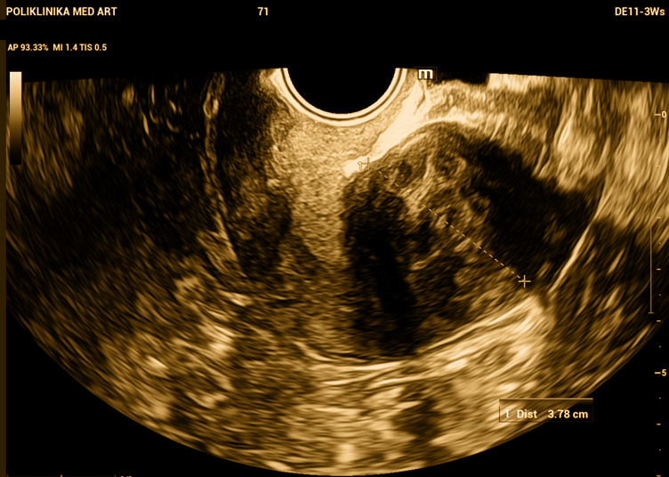
Jedan veći subserozni miom. Svojim volumenom izlazi iz tijela maternice.
Ako nastavi s rastom, može pritiskati okolne strukture – mokraćni mjehur, crijeva ili uretere, ovisno o položaju.
Miom promjera 37 mm, kao ovaj, ne bi trebao raditi većih tegoba.
Miomi – simptomi
Miomi mogu stvarati sljedeće tegobe:
- Abnormalna krvarenja iz maternice: Jako i produljeno menstrualno krvarenje ili krvarenje unutar ciklusa mogu biti povezani s submukoznim i intramuralnim miomima. Subserozni miomi nisu povezani s nepravilnim krvarenjima.
- Bol: Kronična bol u zdjelici, bol tijekom spolnog odnosa (dispareunija), bol u leđima ili donjem dijelu trbuha mogu biti povezani s miomima. Akutna bol se pojavljuje kod degenerativnih promjena u miomima ili kod torzije (zaokretanja) mioma na peteljci.
- Simptomi pritiska: Miomi koji rastu iz maternice mogu raditi pritisak na okolne organe. Ako pritišću mokraćni mjehur, javlja se učestalo mokrenje i osjećaj nepotpunog pražnjenja mjehura. Ako pritišću debelo crijevo, dolazi do zatvora i osjećaja pritiska u rektumu. Ako pritišću mokraćovode i ometaju prolaz urina od bubrega do mokraćnog mjehura, rijetko, ali moguće, dovode do hidronefroze bubrega (zastoja urina u bubregu).
- Kod velikih mioma trbuh može izgledati kao u trudnice, s time da žena može napipati miom kao veliku tvrdu loptu u trbuhu koja joj smanjuje mogućnost saginjanja i ležanja na trbuhu.
- Neplodnost i komplikacije u trudnoći: zbog položaja unutar maternice mogu sprečavati zametak da se ukopa u maternicu, mogu izazvati spontane pobačaje ili bolove tijekom trudnoće.
- Izlazak mioma iz maternice: rijetko se može desiti da miom izlazi iz maternice kroz rodnicu („rađajući miom“), što bude praćeno bolovima, krvarenjem i infekcijama.

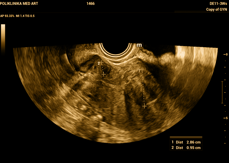
Dva mioma – manji prema području vrata maternice, a veći ulazi u unutrašnjost maternice.
Zbog prodiranja u sluznicu maternice može raditi obilnija i produljena menstrualna krvarenja pa je potrebno odstraniti ga pomoću histeroskopije.
Dijagnoza mioma
- Anamneza i klinički pregled: u obiteljskoj anamnezi bitna je pojava mioma kod majke i sestre. Simptomi poput produljenog i obilnog krvarenja te krvarenja unutar ciklusa mogu pobuditi sumnju na miome. Bimanualni ginekološki pregled može dokazati povećanu, tvrdu i nepravilnu maternicu.
- Ultrazvučni pregled: Vrlo često se miomi slučajno uoče na rutinskom ultrazvučnom pregledu, bez da je žena imala ikakvih simptoma. Transvaginalni i/ili transabdominalni ultrazvuk je primarna metodu dijagnoze koja omogućuje procjenu veličine, broja i lokalizacije mioma.
- Histeroskopijom se odstranjuju submukozni miomi koji se nalaze unutar šupljine maternice.
- Sonohisterografija (SIS) je postupak ubrizgavanja fiziološke otopine u maternicu radi bolje vizualizacije submukoznih mioma ultrazvukom.
- Magnetska rezonanca (MR) se koristi kod nejasnih nalaza, planiranja složenih operacija te diferencijalne dijagnoze s adenomiozom ili sarkomom.
- Laboratorijske pretrage: Provjera krvne slike i željeza zbog anemije. Nema tumorskih markera koji bi bili karakteristični za miome.
Razlika mioma i sarkoma
Najveća nedoumica koja se javlja kod obrade i dijagnosticiranja mioma je razlikovati miome od sarkoma. Sarkom je zloćudni tumor maternice. Postoji postavka da, ako tvorba brzo raste, postoji veći rizik da se radi o sarkomu. No, to nije pravilo u reproduktivnoj dobi jer i miomi mogu ubrzano rasti. U postmenopauzi svaka struktura na maternici koja je nova ili krene rasti upućuje da postoji veći rizik od maligne bolesti. Hormonska terapija u postmenopauzi može potaknuti rast mioma koji je postojao od prije.
Miomi se pojavljuju najčešće između 20-te i 40-te godine života, dok su sarkomi češći u 60-tim godinama života. Miomi se nakon menopauze smanjuju ili stagniraju u veličini.
Ne postoji pretraga koja bi sa sigurnošću mogla razlikovati miome od sarkoma. Ultrazvukom se može pratiti raste li tvorba ubrzano, je li oštro ograničena kao što su miomi, je li obilno prokrvljena kao što su sarkomi, je li jednolike građe kao miomi ili nejednolika kao sarkomi.
Magnetska rezonanca s kontrastom daje puno više informacija nego ultrazvuk pa se, kod svake sumnjive tvorbe na sarkom, preporučuje napraviti magnetsku rezonancu.
Biopsija endometrija može otkriti sarkom maternice kod nekih pacijentica, posebice s abnormalnim krvarenjem iz maternice. Radi se i kad planirana operacija uključuje morselaciju (rezanje mioma u trbušnoj šupljini tijekom operacije).
Pretvaraju li se miomi u sarkome?
Sarkomi maternice ne nastaju od benignih mioma, uz rijetke iznimke. Velika većina sarkoma nastaje neovisno od mioma.
Liječenje mioma
Kod liječenja mioma je potrebna individualizirani pristup jer najčešće nije potrebno ništa raditi nego samo redovito kontrolirati miome. Liječenje je ovisno o simptomima, veličini, lokalizaciji, dobi žene i planovima za trudnoću.
Ekspektativno liječenje
“Watch and Wait” pristup (ekspektativno liječenje): Mali miomi bez simptoma se samo prate redovitim ultrazvučnim pregledima. Ovaj pristup je posebno primjenjiv kod žena u perimenopauzi, gdje se očekuje regresija mioma nakon menopauze.
Medikamentozno liječenje:
- Oralna hormonska kontracepcija koja sadrži estrogene i progestine: za smanjenje obilnih krvarenja. Kod žena koje ne žele kombiniranu oralnu hormonsku kontracepciju, u obzir dolaze progestinski pripravci: spirala s levonorgestrelom jer je dokazano da progestin zaustavlja rast mioma. Kod pacijentica koje imaju submukozne miome može doći do ispadanja spirale iz materišta jer je unutrašnjost maternice deformirana miomom pa se spirala ne može održati unutra.
- GnRH analozi (agonisti i antagonisti): smanjuju veličinu mioma na način da stvore prijevremenu menopauzu. Koriste se prije operacije radi smanjenja mioma i poštednije operacije. Zbog nuspojava nisu primjenjivi za dugotrajno korištenje.
- Nesteroidni protuupalni lijekovi (NSAID) imaju svoju ulogu u smanjenju menstrualne boli i krvarenja.
- Antifibrinolitici kao što je traneksamična kiselina se mogu koristiti za smanjenje obilnog krvarenja.
- Suplementi željeza su važni u liječenju anemije uzrokovane krvarenjem.
Kirurško liječenje
- Miomektomija: kirurško uklanjanje mioma uz očuvanje maternice. To je opcija za žene koje žele sačuvati plodnost i koje žele sačuvati maternicu. Miomi se operativno mogu ukloniti laparotomijom, laparoskopijom ili histeroskopijom, ovisno gdje se nalaze i koliko su veliki. Ako su veliki, radi se rez na donjem dijelu trbuha – laparotomija. Ako su manji i nalaze se na površini maternice, može ih se ukloniti laparoskopijom pod kontrolom kamere, kroz male rezove na trbušnoj stijenci. Ako se nalaze u šupljini maternice, radi se histeroskopija gdje se kroz rodnicu ulazi u maternicu i, pod kontrolom kamere, odstrane miomi. Operater ne može uvijek sa sigurnošću obećati ženi da će ukloniti samo miom, a ostaviti maternicu. Ponekad dolazi do obilnijeg krvarenja prilikom uklanjanja te je teško odstraniti samo miom nego je potrebno odstraniti cijelu maternicu. No, to se vidi tek tijekom operacije.
- Histerektomija: uklanjanje cijele maternice. Kod žena koje imaju velike miome koje nije moguće odvojiti od maternice bez masivnog krvarenja i kod žena koje imaju maternicu pretvorenu u gomilu mioma, a imaju simptome poput krvarenja ili bolova, optimalna je varijanta izvaditi cijelu maternicu. To se može napraviti laparotomijom, vaginalnom histerektomijom ili laparoskopski asistiranom vaginalnom histerektomijom.
Minimalno invazivne i interventne radiološke metode:
- Embolizacija uterine arterije (UAE): Radi se kod žena koje žele zadržati maternicu, ali ne žele operaciju ili nisu kandidati za operaciju. Embolizacijom se blokira dotok krvi u arterije maternice. Postupak izvodi interventni radiolog, uvodeći kateter preko kože u femoralnu arteriju. Nije prikladan za žene koje žele trudnoću i kod žena u postmenopauzi da se ne bi zamijenio miom sa sarkomom. Komplikacije mogu biti bol u trbuhu, vaginalni iscjedak i ponekad preuranjena menopauza.
- HIFU: neinvazivna metoda kojom se, pod kontrolom magnetske rezonancije, fokusiranom ultrazvučnom energijom visokog intenziteta izaziva nekroza i propadanje mioma. Izbjegava se operacija, a oštećenje okolnog tkiva je svedeno na minimum.
Miomi i plodnost
Miomi mogu utjecati i na uspješnost metoda potpomognute oplodnje
Miomi mogu utjecati na začeće i pobačaje blokiranjem jajovoda, mijenjanjem oblika maternice, utjecajem na debljinu i receptivnost sluznice maternice, stvaranjem kronične upale, remećenjem prokrvljenosti maternice. Submukozni i veliki intramuralni miomi najviše utječu na plodnost, a subserozni obično nemaju utjecaja. Miomi mogu utjecati i na uspješnost metoda potpomognute oplodnje te se, u tim slučajevima, preporučuje odstranjenje mioma radi poboljšanja plodnosti.
Miomi u trudnoći
Miomi mogu rasti tijekom trudnoće zbog povišene razine estrogena i povećane prokrvljenosti maternice, posebno u prvom tromjesečju. Moguće komplikacije mioma u trudnoći su bol (akutna bol zbog degenerativnih promjena – crvena degeneracija), spontani pobačaji (povećan rizik, posebno kod submukoznih mioma), prijevremeni porod (povećan rizik od prijevremenih trudova i poroda), abnormalni položaj ploda (miomi mogu ometati okretanje ploda u pravilan položaj), abrupcija posteljice (povećan rizik od prijevremenog odljuštenja posteljice), povećana vjerojatnost carskog reza (zbog veličine ili položaja mioma koji ometaju vaginalni porod), postpartalno krvarenje (povećan rizik nakon poroda).

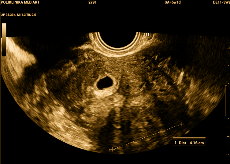
Miom i trudnoća. Gore desno u maternici se vidi gestacijska vrećica, a dolje lijevo je subserozni miom promjera 41 mm.
U trudnoći može doći do većeg porasta mioma te bolova u području maternice zbog propadanja mioma.
Većina trudnoća s miomima protekne uredno, bez ikakvih tegoba.
Važno je redovito praćenje mioma tijekom trudnoće. Nakon porođaja se miomi često smanje.
Prevencija mioma
Životne navike koje mogu pomoći u prevenciji mioma ili usporavanju njihovog rasta:
- Prehrana: izbjegavati/smanjiti crveno meso, prerađeno meso, zasićene masti; povećati unos: voće, povrće, cjelovite žitarice, mahunarke (bogate vlaknima), namirnice bogate vitaminima A, C, E i D. Namirnice koje sadrže fitoestrogene mogu potencijalno stimulirati rast mioma.
- Održavanje zdrave tjelesne težine: pretilost povećava razinu estrogena koji stimulira rast mioma.
- Smanjenje izloženosti endokrinim disruptorima: izbjegavati, koliko je moguće, kemikalije u kozmetici, plastici, pesticidima – ftalati, bisfenol A i poliklorirani bifenili.
- Upravljanje stresom: stres djeluje na hormonalnu ravnotežu, a posljedično tome i pojavu te rast mioma.
Važnost ranog prepoznavanja
Miomi su dobroćudne tvorbe, no važno ih je rano otkriti. Liječenje je individualno, sukladno s tegobama, a najčešće nije niti potrebno. Iako miomi mogu biti izazovni, uz pravovremenu dijagnozu i adekvatno liječenje, većina žena može voditi normalan život, ostvariti trudnoću i riješiti se simptoma. Redoviti ginekološki pregledi su važni u životu svake žene. Ne treba se ustručavati potražiti medicinsku pomoć ako se primijete bilo kakve smetnje.
Fotografija: Pexels
Svrbež stidnih usana
Svrbež stidnih usana je nelagodan osjećaj na koži i sluznici vulve koji potiče na češanje….
Kako vratiti vlažnost rodnice
Suhoća rodnice je stanje u kojem vaginalna sluznica ne proizvodi dovoljno vlažnosti, što može uzrokovati…
Ponavljajuće urinarne infekcije
Ponavljajuća urinarna infekcija je infekcija koja se javlja dva ili više puta u 6 mjeseci…
Kako potaknuti menstruaciju
Menstruacija je normalan fiziološki proces krvarenja iz maternice koji se javlja ako ne dođe do…
Bol u jajnicima
Žene puno češće osjećaju bolove u donjem dijelu trbuha nego muškarci. Oko 95% dijagnostičkih laparoskopija,…
Polip na maternici
Veliki broj operativnih zahvata u ginekologiji se odnosi na uklanjanje polipa na maternici. Oko 10%…

Mob (ginekologija)
E-mail fizikalna terapija:
Poliklinika Med Art | © Sva prava pridržana

izrada: trenutak.hr




