Vođenje trudnoće do termina
Poliklinika Med Art pruža sveobuhvatnu podršku tijekom cijele trudnoće. Naš iskusni tim ginekologa i najsuvremenija oprema osiguravaju sigurnost i dobrobit Vas i Vaše bebe, od potvrde trudnoće sve do termina porođaja.
Kroz individualizirani pristup, pratimo Vašu trudnoću uz redovite ginekološke preglede, ultrazvučne pretrage, CTG nadzor te fizioterapeutsku podršku. Naši stručnjaci su tu da odgovore na sva Vaša pitanja i pruže Vam potrebne informacije kako biste se osjećali sigurno i informirano tijekom cijele trudnoće.
Zašto odabrati Med Art za vođenje trudnoće?
- Individualizirani pristup prilagođen Vašim potrebama i tijeku trudnoće
- Iskusni ginekolozi s bogatim iskustvom u prenatalnoj skrbi
- Mogućnost da Vas ginekolog koji Vas je pratio tijekom trudnoće prati i tijekom poroda
- Najnovija tehnologija za detaljne preglede i praćenje razvoja Vaše bebe
- Sve potrebne usluge na jednom mjestu, uključujući fizioterapiju koja pomaže u održavanju kondicije i pripremi tijela za porod.
Kako pratimo Vašu trudnoću u Med Artu?
- Prvi pregled uključuje potvrdu trudnoće, ultrazvuk i detaljno savjetovanje
- Redoviti pregledi omogućuju praćenje rasta i razvoja bebe te pravovremeno uočavanje mogućih rizika
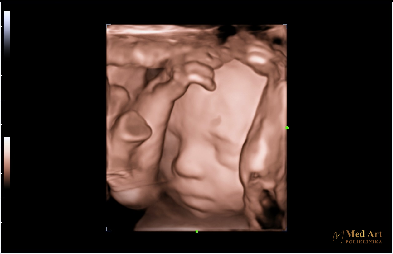
- Pretrage 3D/4D/5D ultrazvukom pružaju detaljan uvid u anatomski razvoj bebe
- CTG nadzor prati otkucaje srca bebe i kontrakcije maternice
- Fizioterapija za trudnice obuhvaća prilagođene vježbe i pripremu za što lakši porod.
Ostale usluge
Digitalne fotografije ultrazvuka
Poliklinika Med Art među rijetkima pruža trudnicama mogućnost primanja originalnih digitalnih fotografija ultrazvuka u boji….
Vođenje trudnoće do termina
Konzultacija subspecijalista perinatologije
Konzultacija se provodi uz pregled dokumentacije i izdavanje zaključnog mišljenja subspecijalista perinatologije u pisanoj formi…
Ginekološki pregled u trudnoći
Vrlo je važno redovito posjećivati ginekologa tijekom trudnoće. Trudnoće koje su redovito kontrolirane imaju bolji…
Ultrazvuk u trudnoći
Ultrazvučni pregled u realnom vremenu je najčešća tehnika koja se koristi u praćenju razvoja trudnoće….
Transabdominalni ultrazvuk kod višeplodnih trudnoća
Višeplodne trudnoće čine 1-2% svih trudnoća. Dvije trećine su dvojajčani blizanci (različiti, mogu biti istog…

Mob (ginekologija)
E-mail fizikalna terapija:
Poliklinika Med Art | © Sva prava pridržana

izrada: trenutak.hr

